お問い合わせ

診察時間

新型インフルエンザ情報

求人情報

百楽仙入居者募集

当サイトでは資料及びパンフレット等のファイル配布にPDFを使用しています。
adobe reader

放射線科

スタッフ特色診療実績外来診療(放射線科)

スタッフ
役職 氏名 専門分野 資格
最高顧問 小林 尚志 放射線診断
放射線治療
厚労者認定臨床修練指導医
日本医学放射線学会認定専門医
PET核医学認定医
医師 田代 誠 放射線診断 日本医学放射線学会認定専門医
診療放射線技師 日高義時技師長他、6名
非常勤(登録人数)、7名
  放射線管理士  1名
放射線機器管理士  1名
医用画像情報管理士  2名
臨床実習指導士  1名
第一種放射線取扱主任者  1名
マンモグラフィ撮影A認定技師  2名
胃がん検診専門技師   1名
事務職員 1名    

特色

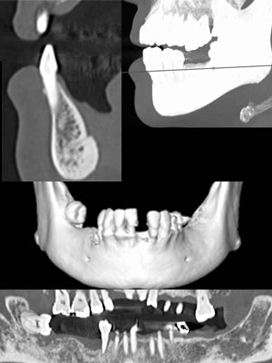
インプラントCT
  • インプラント術前の委託検査を多数行っています
  • DICOMデータ、実寸大プリント対応しております
  • 予約TELにて、時間の確認をお願いします。
  • ご紹介時には、PDFの書面に記載頂き来院ください


インプラントCT画像
MRI検査
  • 各部位に対応できるコイルを多数そろえています
  • 全身検査に対応しております
  • 特にマンマ(乳腺MRI)、肝臓(プリモビストEOB)に力を入れています
  • ご紹介時には、PDFの書面に記載頂き来院ください


MRI画像マンモ
心臓CT検査
  • 64列の高性能CT装置で委託検査を多数行っています
  • 要予約にて、造影剤問診、同意書、内服状況を確認させて頂きます
  • ご紹介時には、PDFの書面に記載頂き来院ください

心臓C
コロノグラフィー(CTC)検査
  • 64列の高性能CT装置で委託検査を多数行っています
  • 要予約にて、検査パス表・低残渣食・下剤をお渡しします
  • 一度、来院して頂く必要があります。時間の確認をお願いします
CTC


診療実績(2009年8月~2010年7月)

主な検査・治療 内容 件数
一般撮影 最も基本になる撮影で、胸部や骨などを撮影します。
35,409
マンモグラフィ 乳腺をX線で撮影します。
1,753
X線テレビ 胃腸など動きのある臓器を撮影します。
4,903
X線 CT X線を用いて体の断層像を撮影します。
3,994
MRI 核磁気共鳴を用いて体の断層像を撮影します。
2,370
血管造影 血管に造影剤を注入して検査や治療を行います。
27
心臓カテーテル 心臓の血管に造影剤を注入して検査や治療を行います。
26
(新規症例数 21件)

スタッフ特色診療実績外来診療(放射線科)

COPYRIGHT(C) 2009 医療法人社団 如水会